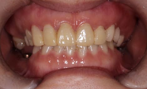
全顎治療とは、お口の中全体を整えていく治療です。今痛いという歯だけ治療をしても噛み合わせは必ず変わります。また、顎も歯も使っていれば磨り減ったりすることで位置も形も変わります。そのため、その場しのぎではなく、お口の状態を一つの器官として考え治療することは、健康を維持するための食べることを助けることに大変大切なことと考えています。
治療には、保険治療と保険外治療があり、適応できる治療計画に違いはありますが、各患者さんの希望を伺いながら最適な治療の流れを決めていきます。
ご自身のお口の状態に少しでもご不安があればお気軽にドクター、スタッフにご質問ください。
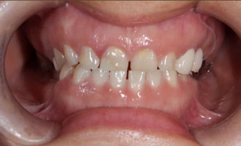
咬合性外傷って?ご存じですか?
咬合力(外相性咬合)によって生じる歯周組織の障害を、咬合性外傷といいます。咬合性外傷は一次性と二次性に分けられます。
※一次性咬合性外傷
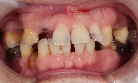
ここで、歯軋り、食いしばりの癖がある人を想像してみてください。一日に一時間食いしばったら?それを毎日。歯は何らかの形で悪影響が出るのが当然です。特に就寝時の食いしばりは、火事場のばか力で食いしばるときくらいの力がでるようです。朝目覚めたときに妙に歯に違和感、むずがゆい感じはありませんか?食いしばりがある一定の時間と力を超えると歯槽骨が少しずつ溶けていき歯が揺れていきます。 これを『一次性咬合性外傷』といいます。
※二次性咬合性外傷
簡単に言えば、
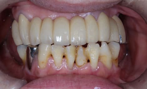
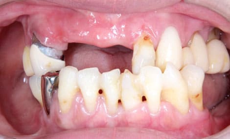
歯周病はないのに、力のみで歯が揺れてくる現象です。もし歯周病で歯槽骨( 前図参照 )が半分くらい溶けている人が火事場のばか力で食いしばったら?アゴの筋肉の衰えはほとんどありませんから、歯周病ですでに支える能力がなくなった歯に容赦なくものすごい力が襲いかかってきます。もうこうなったら歯は一気に駄目になってしまいます。これを 『二次性咬合性外傷』 と呼びます。 噛む力は人によってまちまちなので、いつ二次性咬合性外傷が始まるのかわかりません。例えば、食いしばりがなくても、歯槽骨が更に溶ければ、普段の何気ない力でも当然、二次性咬合性外傷が起こってきます。
咬合性外傷の防止策
・噛み合わせの調整
・マウスピースの装着
・歯周病の治療
・隣の歯と冠(差し歯)で連結(つなげる)する
一次性咬合性外傷は、噛み合わせの調整だけでほとんどが治ります。揺れていた歯も、調整した日から1~2週間で治ってしまいます。
しかし、二次性咬合性外傷は、歯槽骨が溶けてしまっているので、がんばって治療しても、治らない場合が少なくありません。そうならないためにできるだけ早い時期に、歯周病の治療をし、歯槽骨が溶けるのを食い止める必要があります。
今現時点で、自分自身の歯や歯槽骨の状態がつかめていない方、半年以上歯科に行っていない方は、受診をお勧めします。


